Patient Case Study, Brain Tumor Treatment, Beijing Puhua Treatment, Cancer Treatment, Beijing Puhua International Hospital, Beijing, China

النهج الجراحي العصبي لعلاج الورم السحائي غير النمطي بواسطة BPIH
تم إدخال المريض جينغونغ غي، وهو مريض ذكر يبلغ من العمر 59 عامًا من الصين، إلى مستشفى بكين بوهوا الدولي (BPIH) في الصين في 20 أكتوبر 2009، مصابًا بورم سحائي غير نمطي في منطقة مثلثة.
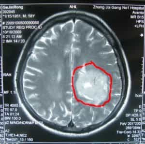
الحالة الطبية قبل جراحة الأعصاب لورم سحائي غير نمطي في المنطقة المثلثية اليسرى
قبل ستة عشر شهرًا من دخوله المستشفى بسبب ورم سحائي غير نمطي في المنطقة المثلثية اليسرى، بدأ السيد جي يشعر بضعف في مرونة ساقه اليمنى، وكأنه يعاني من ضعف في حركتها. لم يسعَ للعلاج فورًا. مرت ستة أشهر، وتفاقمت الأعراض تدريجيًا، مما أثر على مشيته، وكان لصعوبة تحريك ساقه اليمنى أثر سلبي واضح على حياته. ذهب إلى مستشفى محلي وأجرى تصويرًا بالرنين المغناطيسي للدماغ، والذي أظهر وجود ورم في المنطقة المثلثية من البطين الجانبي الأيسر. نُصِحَ بالتدخل الجراحي. رغبةً منه في الخضوع لجراحة الأعصاب لعلاج هذا الورم السحائي غير النمطي، تم إدخال المريض جينرونغ جي إلى مستشفى بكين الدولي للأمراض النفسية.
النهج الجراحي العصبي لعلاج ورم السحايا غير النمطي في المنطقة المثلثية اليسرى
فتح الجمجمة عبر المدخل الجداري القذالي الأيسر مع استئصال الورم.
استغرقت العملية ست ساعات.
حالة طبية بعد جراحة الأعصاب لعلاج ورم سحائي غير نمطي في المنطقة المثلثية اليسرى
بعد أربع ساعات من خضوع المريض جينرونغ غي لجراحة استئصال ورم سحائي غير نمطي في المنطقة المثلثية اليسرى، وُجد في غيبوبة. وكشف التصوير المقطعي المحوسب الذي أُجري بعد العملية عن تكوّن ورم دموي داخل المخ. أُجريت له جراحة طارئة عبر الشق الجراحي الأصلي لإزالة الورم الدموي على الفور، وقد تكللت العملية بالنجاح. وبعد ساعتين من الجراحة، استعاد المريض جينرونغ غي وعيه من الغيبوبة، واستقرت علاماته الحيوية. وبعد ثلاثة أيام من الجراحة، أُزيل أنبوب التصريف. وأكد التشخيص النسيجي التشخيص السريري لورم سحائي غير نمطي. وخلال الأيام التالية من إقامته في المستشفى، تمكن السيد غي من ممارسة حياته اليومية بشكل جيد، ولم يشكو من صداع أو أي أعراض أخرى، ولم تحدث أي مضاعفات أخرى. وكانت قوة عضلات ساقه اليمنى كما هي قبل الجراحة. وغادر المستشفى بعد أربعة وعشرين يومًا من خضوعه لجراحة الأعصاب.
متابعة
بعد ثلاثة أشهر من خضوعه لجراحة عصبية لعلاج ورم سحائي غير نمطي، عاد المريض جينرونغ غي إلى مستشفى بي بي آي إتش للمتابعة. أفاد بأنه تعافى بشكل جيد خلال فترة مكوثه في المنزل، وأن حركة ساقيه أصبحت أكثر مرونة بكثير مما كانت عليه قبل الجراحة، وشعر بقوة ساقيه من جديد، وأن مشيته أصبحت طبيعية دون أي ضعف في ساقه اليمنى. وقد تلقى جراحة عصبية ناجحة لعلاج ورمه السحائي غير النمطي.
فحص بالأشعة قبل الجراحة




التصوير أثناء الجراحة
فتح الجمجمة عبر المدخل الجداري القذالي الأيسر

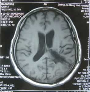
فحص بالأشعة بعد ثلاثة أشهر من الجراحة



انقر على الزر أدناه لمعرفة المزيد عن علاج أورام الدماغ في مركز بي بي آي إتش:
.png)
شارك هذه القائمة