
UltimaDent في Izmir، Turkey تعليقات من مرضى حقيقيين
Focus Area:
ألتيما دينت | إزمير | تركيا | طب الأسنان التجميلي | قشور الأسنان | تيجان الزركونيوم | تصميم الابتسامة | تبييض الأسنان | زراعة الأسنان بتقنية "الكل على 4" | جراحة الفك
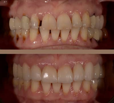
عن UltimaDent
استمتع برعاية أسنان فائقة الجودة في إزمير، تركيا مع UltimaDent. نجمع بين التكنولوجيا المتقدمة والخبرة لتقديم أفضل علاجات الأسنان.



Review Summary of UltimaDent
Thais Erthal, Seda Kutluk, Tijen Kuyumcu Akbulut, Nermin Cantay, and Emel Sen all had positive experiences at UltimaDent in Izmir, Turkey. Dr. Nevsin SENER and her staff were praised for their competence and friendliness, with the clinic being described as impeccable and conveniently located. The service quality was highlighted as exceeding European standards, particularly with advanced gum treatments. Patients appreciated the warm and friendly staff, as well as the clinic's cleanliness and modern facilities. The personalized care and attention to detail, especially during the welcoming process, left a lasting impression on visitors. Overall, UltimaDent garnered high praise for its exceptional care and top-notch services.
This Summary is AI-generated.