Request a video call
Confirm Your Virtual Consultation
UltimaDent نظرة عامة على الملف الشخصي

ألتيما دنت في إزمير، تركيا - رائد في تكنولوجيا طب الأسنان المتقدمة
في UltimaDent ، نفخر بكوننا عيادة أسنان رائدة في إزمير، تركيا، ونشتهر بتقنياتنا المتطورة. التزامنا بتعزيز نجاح العلاج وراحة المريض يميزنا. باستخدام أساليب تشخيصية وتقنيات علاجية متطورة، نضمن الدقة والكفاءة. نهجنا الرقمي يُغني عن عناء أخذ طبعة الأسنان التقليدية، مما يُمكّننا من تحديد نموذج الأسنان الأنسب في جلسة واحدة. عِش تجربة مستقبل طب الأسنان مع UltimaDent.
الخبرة التي تحدد رعاية الأسنان الاستثنائية
عندما يتعلق الأمر برعاية الأسنان الاحترافية، فإن UltimaDent يتفوق على غيره في إزمير، تركيا. فريقنا من أطباء الأسنان ذوي المهارات العالية، بقيادة الدكتور طبيب نيفسين سينر ، والدكتور المساعد بوكيت هان ، والدكتور طبيب إنجين يجيت ريس ، والدكتور طبيب محمد سويدينك ، ملتزم بتقديم علاج استثنائي. بفضل خبرتهم الواسعة والتزامهم بمواكبة أحدث التطورات، كن على ثقة بأن صحة فمك في أيدٍ أمينة. نولي الأولوية للرعاية الشخصية والحلول الفعالة المصممة خصيصًا لتلبية احتياجاتك الفريدة.
إطلاق العنان لإمكانات خيارات العلاج المتقدمة
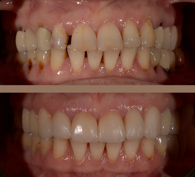
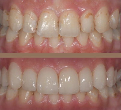
في UltimaDent، نقدم مجموعة شاملة من خيارات العلاج المتطورة لتحسين ابتسامتك. من طب الأسنان التجميلي وقشور الأسنان إلى تيجان الزركونيوم. تصميم الابتسامة ، خبرتنا تغطي كل ذلك. احصل على ابتسامة مشرقة وواثقة من خلال إجراءات تبييض الأسنان لدينا، أو استفد من ثبات وراحة زراعة الأسنان "الكل على 4" . في الحالات المعقدة، يتفوق فريقنا الماهر في جراحة الفك، مما يضمن أفضل النتائج الوظيفية والجمالية. جرّب قوة طب الأسنان المتقدم مع UltimaDent.
مرافق متطورة لرعاية لا مثيل لها
تفخر ألتيما دينت بتقديم رعاية أسنان لا مثيل لها في إزمير، تركيا، بفضل مرافقها المتطورة. عيادتنا مجهزة بتقنيات متطورة، تشمل التصوير الرقمي، وأجهزة المسح داخل الفم، وخيارات علاجية طفيفة التوغل. نولي راحة المرضى وسلامتهم الأولوية، ونوفر بيئة مريحة، ونلتزم ببروتوكولات تعقيم صارمة. منذ لحظة دخولك عيادتنا، ستلمس الفرق الذي تُحدثه مرافقنا الحديثة في تقديم رعاية أسنان استثنائية.
النهج الشامل للعناية الشاملة بالفم
في UltimaDent، نؤمن بنهج شامل للعناية بالفم يتجاوز العلاجات الفردية. يلتزم فريقنا بتقديم رعاية أسنان شاملة، مع التركيز على التدابير الوقائية والكشف المبكر وخطط علاجية مصممة خصيصًا. من الفحوصات الدورية والتنظيف إلى الإجراءات الترميمية المتقدمة، نهتم بجميع جوانب صحة فمكم. من خلال نهجنا الذي يركز على المريض، نسعى جاهدين لتمكينكم من الحفاظ على صحة أسنان مثالية مدى الحياة.
الارتقاء بتجربة المريض إلى آفاق جديدة
تجربة مرضانا المتميزة هي جوهر قيمنا في UltimaDent. نبذل قصارى جهدنا لضمان راحتكم ورضاكم طوال رحلة علاجكم. من فريقنا الودود والمتعاطف إلى جدولة المواعيد الفعّالة والإجراءات المُبسّطة، نضع راحتكم على رأس أولوياتنا. يحرص فريقنا على الاستماع إلى مخاوفكم، وإطلاعكم على خيارات العلاج المتاحة، والإجابة على أي استفسارات لديكم. استمتعوا برعاية أسنان تفوق توقعاتكم في UltimaDent.
نتائج مثالية ورضا المرضى
في UltimaDent، نفخر بتقديم نتائج مثالية وضمان رضا مرضانا. يعمل فريقنا من المتخصصين المتفانين بلا كلل لتجاوز التوقعات وتحقيق نتائج مبهرة. نولي أهمية كبيرة للتواصل المفتوح، ونحرص على إشراك مرضانا بفعالية في رحلة علاجهم. بفضل التزامنا بالتميز، والرعاية الشخصية، والاهتمام بالتفاصيل، نسعى جاهدين لترك انطباع دائم لدى كل مريض. ثق بـ UltimaDent لتجربة أسنان في إزمير، تركيا ، تجعلك تبتسم بثقة.
سيساعدك ممثل خدمة العملاء لدينا في بلاسيد واي على التواصل مع عيادة ألتيما دينت - عيادة أسنان في إزمير، تركيا. انقر على زر "اتصل بنا" أدناه للبدء:
موقع
Reviews
نبذة عن المركز الطبي
- Translations: EN AR DE ES FR IT NL RO RU
- التخصص: Dentistry
- موقع: Kazim Dirik Mah. 372, 33. Sk. No:8, 35030 Bornova, Izmir, Turkey, Izmir, Turkey
- تمت مراجعته طبيا من قبل: Ass. Prof. Buket Han,
- الأطباء المرتبطون: Ass. Prof. Buket Han, , Dr. Nevşin Şener , Dr. Engin Yiğit Reis
- ملخص: استمتع برعاية أسنان فائقة الجودة في إزمير، تركيا مع UltimaDent. نجمع بين التكنولوجيا المتقدمة والخبرة لتقديم أفضل علاجات الأسنان.

شارك هذه القائمة